系膜增生性肾小球肾炎(mesangial proliferative glomerulonephritis,MsPGN)是根据光镜所见的一种病理形态学诊断的肾炎,是一组以弥漫性肾小球系膜细胞增生及不同程度系膜基质增多为主要特征的肾小球疾病。1977年世界卫生组织(WHO)正式将其列为一种原发性肾小球肾炎病理类型。
-
疾病描述
系膜增生性肾小球肾炎(mesangialproliferativeglomerulonephritis,MsPGN)是根据光镜所见的一种病理形态学诊断的肾炎,是一组以弥漫性肾小球系膜细胞增生及不同程度系膜基质增多为主要特征的肾小球疾病。1977年世界卫生组织(WHO)正式将其列为一种原发性肾小球肾炎病理类型。系膜增生性肾炎是病理形态学的一个术语,系膜增生性肾小球肾炎分为原发性和继发性两类。 原发性系膜增生性肾炎又可分为4种:①系膜沉积物以IgA为主。②系膜沉积物以IgM为主。③有其他形式的Ig及(或)C3沉积。④没有Ig或C3沉积。
-
症状体征
系膜增生性肾炎可发生于任何年龄,年龄较大的儿童和青年发病率较高,高峰年龄为16~30岁。男性病例略高于女性。系膜增生性肾小球肾炎多数起病隐匿,常见上呼吸道感染为前驱症状,其发生率为30.8%~40.3%。系膜增生性肾小球肾炎的特点是临床表现多样化,几乎各种原发性肾小球肾炎的发病形式及临床表现均可见于其中。轻者主要表现为无症状性血尿和(或)蛋白尿及慢性肾小球肾炎,重者可表现为肾病综合征。患者中30%~100%的病例有镜下血尿,20%~30%有反复发作的肉眼血尿;蛋白尿从微量到大量或肾病综合征表现者均有,多数患者表现为中等量选择性蛋白尿;30%病例出现轻度高血压,发病初期绝大多数肾功能正常,后期有10%~25%的病例出现肾功能减退。此外,部分病人有腰痛,可能与肉眼血尿有关。系膜增生性肾小球肾炎的临床表现与病理改变有明显关系,如显著弥漫性系膜增生和典型的肾病综合征病例,其发展倾向于持续性蛋白尿和进行性肾功能不全。系膜增生伴局灶节段性硬化者,临床上也易发生肾功能不全。而部分系膜增生不明显的病人,其病变进展缓慢预后较好。
-
系膜增生性肾小球肾炎特点
⑴临床特点;
①占肾活检病例的50%,在原发性肾病综合征中占30%;②男性多于女性,好发于青少年;③50%有前驱感染史;⑤病情由轻转重,肾功能不全及高血压的发生率逐渐增加。⑵病理特点
①系膜区细胞增多;②基质增宽;③有C1q沉着;④内皮细胞无增生;⑤基膜无改变;⑥上皮细胞无改变。⑶病理分型
轻度:增生系膜区<;毛细血管腔系膜细胞<3个重度:系膜弥漫增生基础上呈团块聚集,毛细血管结构破坏,系膜细胞>5个 -
病理病因
疾病病因系膜增生性肾炎的病因仍未明确。部分病例起病前有感染史,以上呼吸道感染居多, 但病原不明,感染对系膜增生性肾小球肾炎确切的作用也不清楚。鉴于免疫荧光检查有多种表现,推测系膜增生性肾小球肾炎的致病因素可能存在多种。系膜增生性肾炎患者的肾小球系膜区有免疫球蛋白和补体C3的沉积,提示为一种免疫介导炎症性疾病。某些抗原刺激机体产生相应的抗体,形成较大分子难溶性循环免疫复合物,并沉积于肾小球系膜区引起系膜细胞增殖。当系膜组织清除功能低下或受抑制时,单核吞噬细胞系统功能受损,免疫复合物不能清除,而滞留于系膜区,导致系膜病变。此种发病机制在动物实验中得到验证。尽管免疫复合物是产生系膜损害的主要原因,但其抗原与抗体的性质和其确切的损伤过程尚不清楚。另外,细胞免疫介导在发病中也起重要作用。在对细胞因子网络与系膜细胞之间作用的研究中发现,系膜细胞在炎症过程中是炎症介质作用的靶细胞,加之又有自分泌和旁分泌功能,在炎症介质作用下释放出各种细胞因子,从而刺激和激活系膜细胞,促进系膜细胞增生。系膜细胞产生细胞外基质,基质又通过细胞表面的受体和整合素的信号传递影响细胞。非免疫性因素如高血压、高灌注状态及血小板功能异常,也是导致系膜的病理改变的重要因素。 病理生理系膜增生性肾炎的发病机制尚不明确,大体可分为免疫性发病机制及非免疫性发病机制两类。免疫性发病机制包括免疫反应导致免疫复合物及补体对系膜细胞的直接作用;炎症反应引发淋巴细胞激活、细胞因子异常分泌所致系膜细胞及细胞因子相互作用;非免疫性因素如高血压、高灌注状态及血小板功能异常,也可导致系膜的病理改变。从系膜增生性肾炎患者的系膜区发现免疫复合物如IgG、IgM、IgA及补体C3的呈颗粒状沉积,提示免疫复合物致病的可能性。肾小球系膜细胞除具有单核巨噬细胞的吞噬作用外,还具有分泌功能,多种因素导致B淋巴细胞活跃,分泌各种细胞因子,促进系膜细胞增生。同时,系膜细胞本身又可以分泌各种细胞因子(即所谓系膜细胞的自分泌作用),同样会促进系膜细胞异常增生。另外,免疫遗传学的研究从遗传学角度探讨了系膜增生性肾小球肾炎可能的发病基础,进一步证实了系膜增生性肾小球肾炎的免疫性发病机制。一部分系膜增生性肾炎具有免疫荧光阴性的特点,同时,在免疫性因素消除后,部分患者肾小球系膜病变持续进展,说明非免疫性因素对系膜增生性肾炎有影响。例如,肾小球的高滤过状态、肾小球内高血压对系膜硬化的影响,均提示非免疫性因素的作用。血小板活性因子(PAF)及纤溶系统的异常活跃对系膜增生性肾小球肾炎的发生也有促进作用。
-
诊断检查
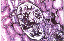
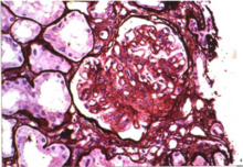
诊断MsPGN临床表现呈多样化,如起病隐匿(无前驱感染)或以急性肾炎综合征(有前驱感染)、肾病综合征、无症状性蛋白尿和(或)血尿等方式起病;系膜增生性肾小球肾炎常有肾小球源性血尿和非选择性蛋白尿,伴或不伴高血压等急性肾炎表现,特别是青少年,有以上情况者,应怀疑系膜增生性肾小球肾炎。确诊仍依赖肾活检检查,其特点是弥漫性肾小球系膜增生,以及弥漫性系膜区免疫球蛋白和补体沉积。无内皮细胞及小管、肾间质损害。 尽管根据不同的临床表现及病理改变特点,可以确诊大多数原发性系膜增生性肾炎,但系膜增生性肾小球肾炎在临床和病理上许多方面与微小病变肾病及局灶节段性硬化相似,3种病变在病理学上存在相互重叠和转换,故对上述3种病变的病理归属仍有争议。当系膜增生显著,少数毛细血管襻呈节段性内皮下插入改变时,与膜增生性肾炎的划分也有争论。另外,系膜增生性肾小球肾炎病理学改变也见于继发性肾小球疾病,如狼疮性肾炎Ⅱ型、过敏性紫癜肾炎、类风湿性关节炎的肾脏病变和遗传性肾炎等,需结合患者病史和临床表现予以鉴别方可确诊。1.尿液检查常有明显异常,镜检可见肾小球源性血尿,尿中红细胞呈多形性改变,血尿发生率占70%~90%,常为镜下血尿。尿蛋白常为非选择性。尿中可出现C3和α2巨球蛋白等大分子蛋白。 2.血液检查肾功能早期大多正常,少数肾小球滤过率下降。血清IgG水平可轻度下降,极少数病例C4水平降低,部分病例血中IgM或IgG循环免疫复合物呈阳性。血清IgA水平不高,补体C3正常,抗链菌素“O”滴度一般正常,抗核抗体和类风湿因子阴性。其他辅助检查:1.光镜系膜细胞的弥漫性增生为系膜增生性肾小球肾炎的基系膜增生性肾小球肾炎理特点,可伴有系膜区的增宽。此病变通常影响80%以上的肾小球,多数肾小球病变程度相似,称为弥漫性增生。早期以系膜细胞数增多为主,在中等病变中每个系膜区的系膜细胞数为4~5个。而在较严重的病变中,每个系膜区的系膜细胞数多在5个以上,系膜区还可见单核细胞浸润。Masson染色约50%的病例可见系膜区嗜复红免疫复合物沉积。肾小球毛细血管壁正常,毛细管腔开放较好。大多数病例肾小管、间质组织及肾内小动脉正常。
-
治疗方案
治疗方法应根据临床表现结合病理特点选择使用,并须通过长期随访,调整治疗方案。一般治疗同其他肾脏疾病。 1.单纯血尿病理改变仅有轻度系膜增生,中度以下蛋白尿伴或不伴血尿,24h尿蛋白定量小于1.5g,病理改变为轻度或中度系膜增生的患者,轻者无须特殊治疗。对于尿蛋白定量1~2g/24h的患者,给予常规量糖皮质激素治疗,有助于缩短缓解时间,减轻肾脏的病理改变。尿蛋白2.大量蛋白尿或肾病综合征此类患者无论病理改变轻重,均应给予足量的糖皮质激素治疗。即便病理学改变为系膜增生轻微、无弥漫性Ig和(或)补体沉积,也不伴局灶节段性肾小球硬化者,也要给予泼尼松(强的松)治疗。儿童剂量60mg/(m2?d),成人剂量40~60mg/d,常规治疗后在4~6个月内逐渐减量维持;或甲泼尼龙(甲基强的松龙)10g/d,共3天,后改口服泼尼松(强的松)40mg/d,4~8周后减量维持。免疫荧光IgM及C3阳性者,多数病例对激素反应敏感,且预后良好。对于激素依赖型及激素不敏感型患者,在用激素的同时,加用免疫抑制药如环磷酰胺、苯丁酸氮芥或硫唑嘌呤等;临床常用环磷酰胺,每次1g,每月1次,连续12~16个月,有助于巩固疗效,提高缓解率和延长缓解期。据报道联合治疗可使60%的病例复发减少。另外,根据病情也可加用抗凝剂或血小板抑制剂、血管紧张素转换酶抑制药(ACEI)和肝素,ACEI可通过降低血管紧张素Ⅱ的作用、降低肾小球内压及基底膜通透性、抑制系膜细胞增殖,从而降低蛋白尿,保护肾功能。肝素在体外能明显抑制系膜细胞增殖,在抗Thy-1的系膜增生性肾炎模型中,证实能有效抑制系膜细胞的增殖,降低系膜细胞、纤维母细胞生长因子及PDGF受体的表达,从而抑制系膜基质的合成。肝素还具有保护或修复肾小球基底膜电荷屏障的作用,因此,肝素可能成为治疗系膜增生性肾小球肾炎很有前途的药物。
-
并发症
1.感染系膜增生性肾小球肾炎表现为肾病综合征时,大量蛋白质丢失、营养不良、免疫功能紊乱及应用糖皮质激素治疗均可使机体抵抗力下降,诱发感染性疾病发生,且临床征象常不明显,虽有多种抗生素供选择,若治疗不及时或不彻底,仍易引起肾病综合征复发和病情加重,甚至导致病人死亡。2.血栓、栓塞并发症由于血液浓缩(有效血容量减少)及高脂血症造成血液黏稠度增加;蛋白质大量丢失及肝脏代偿性合成蛋白增加,会引起机体凝血、抗凝和纤溶系统失衡。另外,肾病综合征时血小板功能亢进,加之应用利尿药和糖皮质激素等,均可加重高凝状态,容易发生血栓、栓塞并发症。其中肾静脉血栓最常见,3/4病例因形成缓慢,故临床症状不显。此外,肺血管血栓、栓塞,下肢静脉、下腔静脉、冠状血管血栓和脑血管血栓也不少见。血栓、栓塞并发症是直接影响肾病综合征治疗效果和预后的重要原因。3.肾功能衰竭肾病综合征病人可因有效血容量不足而导致肾血流量下降,诱发肾前性氮质血症。少数病例可出现急性肾衰竭。由于肾小管腔内高压,间接引起肾小球滤过率骤然减少,导致急性肾实质性肾衰竭。常见于50岁以上病人,发生多无明显诱因,表现为少尿或无尿,扩容利尿无效。肾活检病理检查显示肾小球病变轻微,肾间质弥漫重度水肿,肾小管可为正常或有少数细胞变性、坏死,肾小管腔内有大量蛋白管型。
-
预后预防
预后:系膜增生性肾小球肾炎多数患者预后良好,少数病例自动缓解。因病理改变及临床表现不同,故病程相差较大。一般认为,单纯血尿患者较少进入肾功能衰竭;长期少量蛋白尿伴或不伴血尿患者,病程一般较长;大量蛋白尿患者出现肾功能衰竭的时间明显早于前两类患者;大量蛋白尿伴高血压患者,多数在数年内进入肾功能不全期。系膜增生性肾小球肾炎的预后与多种因素有关:儿童预后较好,尤以6岁以下者预后好;临床表现为单纯血尿或轻度蛋白尿伴或不伴血尿者预后良好;早期出现高血压、肾功能减退或持续大量蛋白尿者往往预后不良;肾活检病理改变为轻度系膜增生不伴局节段性肾小球硬化者预后良好;重度系膜增生,叠加局灶节段性肾小球硬化、肾间质纤维化及肾小管萎缩者,预后恶劣。这类病人肾移植后再发生率高达40%~60%;对激素治疗敏感者预后较好;而对激素依赖或不敏感者预后差。
-
流行病学
1.发病率MsPGN亚洲多见,是中国最常见的原发性肾小球疾病。占中国该病的1/3~1/4,占原发性肾病综合征的1/2左右。近几年中国统计的肾活检患者,原发性非IgA肾病系膜增生性肾炎的发病率为24.7%~41.5%。在原发性肾病综合征病例中,此型肾炎欧美发病率在10%以下,中国约占16%明显高于欧美平均发病率。2.性别与年龄系膜增生性肾小球肾炎多见于年龄较大的儿童及青年,儿童发病多见于3~15岁,平均年龄8岁,成人的平均发病年龄25岁。男性发病率稍多于女性。3.遗传中国北方汉族人中系膜增生性肾炎患者的HLA-DR12基础频率明显增高,提示不同的免疫遗传学基础可能是系膜增生性肾小球肾炎的潜在因素。









